AI Cracks The Hidden Order Inside Chaotic Systems
Read: AI Cracks The Hidden Order Inside Chaotic Systems
Titan’s Hidden Ocean May Not Exist After All
How Shopping Centers Fight Loneliness
A Dead Bacterium From Kefir Might Slow Your Immune System’s Aging
Dopamine Doesn’t Steer Movement In Parkinson’s. It Just Keeps The Motor Running.
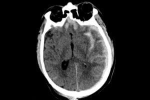
Fixing The Brain’s Plumbing After Head Injury May Prevent Alzheimer’s
A Small Handful Of Toxic Accounts Warp How Americans See Each Other
When Union Protections Vanish, Blue-Collar Workers Start Businesses To Survive
The Flour In Your Pantry Is Secretly Engineering Your Sourdough’s DNA
Three Minutes Of Arm Circles Can Reset A Distracted Child’s Brain
Fungi Fed On Carrot Scraps Outperform Soy In Blind Taste Tests
Pop Lyrics Have Gotten More Narrative Since 1960, Thanks To Hip-Hop
Your Brain Releases A Chemical Surge When Plans Fall Apart
Researchers Reveal How Climate Change Is Shaping Decisions To Move – Or Stay Put















